BREAKING STUDY: COVID-19 “Vaccine” mRNA and Spike Protein Invade the Human Placenta and Fetal Cells—Even in Mothers Vaccinated Before Pregnancy
Spike protein was detected in 37% of placentas from vaccinated mothers with no infection, with 77% of spike-positive placentas showing spike inside fetal immune cells.
A newly published peer-reviewed study in PLOS One has identified spike protein and vaccine-derived mRNA within human placental tissues following COVID-19 vaccination and/or infection.
Researchers analyzed placentas from 106 pregnancies using immunohistochemistry and RNAscope molecular assays to detect spike protein, nucleocapsid protein, and vaccine-specific mRNA sequences. The findings revealed that spike protein was present in 29% of all placentas studied, including 37% of placentas from vaccinated mothers who had no documented COVID-19 infection during pregnancy.
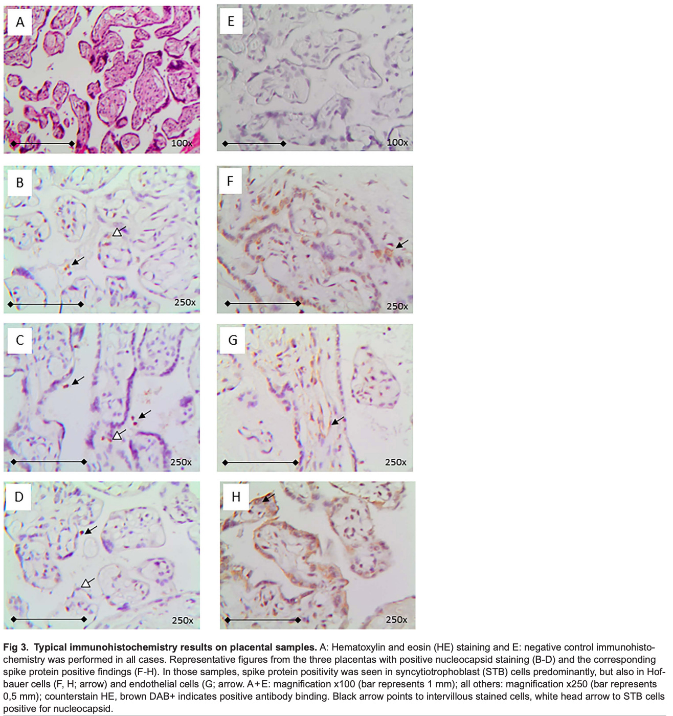
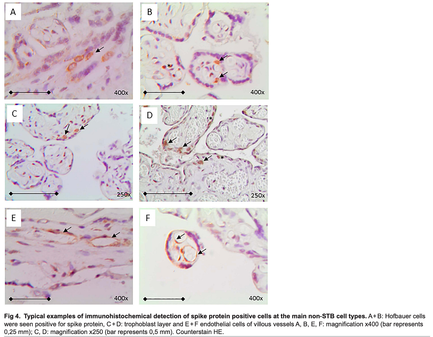
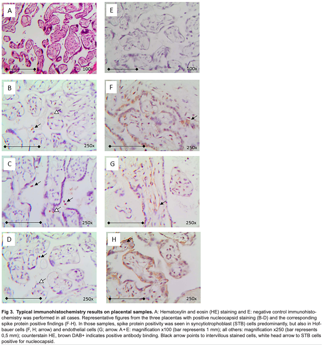
In many cases, spike protein was detected within Hofbauer cells—fetal immune macrophages inside the placenta—as well as trophoblast cells and endothelial cells lining fetal capillaries, demonstrating uptake of spike protein within fetal-side placental structures.
Importantly, the dataset also includes cases in which spike protein and vaccine mRNA was detected in placentas from mothers vaccinated before pregnancy and without documented infection.
Spike Protein Detected in Nearly One-Third of Placentas
Among the 106 placentas examined, 31 samples (29%) tested positive for spike protein by immunohistochemistry. These spike-positive placentas were identified across multiple maternal exposure groups, including vaccinated women without infection, vaccinated women who later developed COVID-19, and unvaccinated women who had experienced infection.
Particularly notable was the subgroup of vaccinated women who never tested positive for COVID-19 during pregnancy. Within this group, 11 of 30 placentas (approximately 37%) contained detectable spike protein, indicating that spike protein presence in placental tissue cannot be explained solely by viral infection. The supplemental dataset also documents at least one spike-positive placenta from a mother vaccinated before pregnancy who had no documented COVID-19 infection during pregnancy.
For comparison, among the unvaccinated women who experienced COVID-19 infection during pregnancy, spike protein was detected in 3 of 14 placentas (21%). In this dataset, the proportion of spike-positive placentas was therefore higher in vaccinated mothers without infection than in mothers who were infected but not vaccinated.
Spike Protein Localized in Fetal Immune Cells
Detailed cellular analysis revealed that spike protein was frequently located within Hofbauer cells, specialized macrophages that serve as immune cells on the fetal side of the placenta. Among spike-positive placentas, 77% demonstrated spike staining within these fetal immune cells.
Hofbauer cells play a critical role in antigen processing and immune signaling within the developing placenta.
Spike Detected in Cells Lining Fetal Blood Vessels
Spike protein staining was also observed in villous endothelial cells, which line the capillaries carrying fetal blood within the placenta. These capillaries form part of the vascular interface responsible for nutrient and gas exchange between mother and fetus.
Vaccine mRNA Detected in Placental Cells
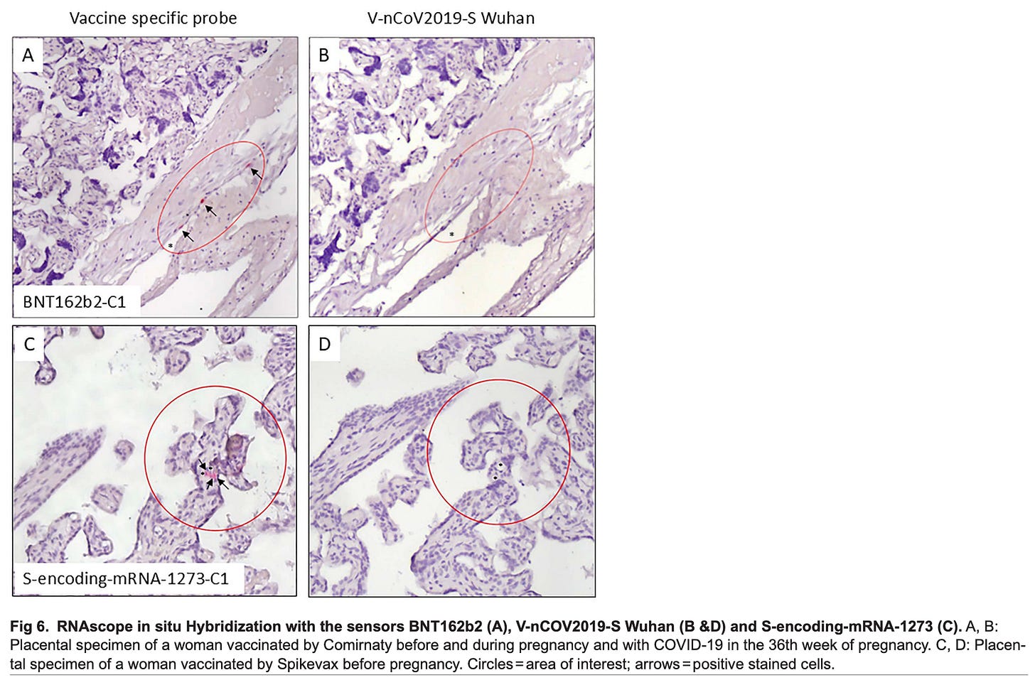
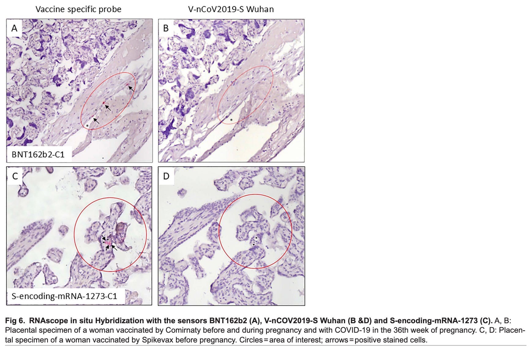
To determine whether vaccine genetic material could also be detected in placental tissues, the researchers performed RNAscope in situ hybridization using probes specific to the Pfizer-BioNTech (BNT162b2) and Moderna (mRNA-1273) vaccines.
Among nine spike-positive placentas analyzed with this technique, no viral RNA was detected, while two samples showed detectable vaccine-derived mRNA sequences within placental cells. In one case, mRNA corresponding to the Moderna vaccine was detected in endothelial cells of placental villous capillaries.
These findings provide molecular evidence that vaccine mRNA can be detectable within placental tissue under certain conditions.
Vaccine Signals Detected Even When Vaccination Occurred Before Pregnancy
One notable case involved a mother who had received two Moderna (mRNA-1273) doses before pregnancy. In this placenta, vaccine-derived mRNA was detected in endothelial cells within the placental villi.
The supplemental dataset also documents spike protein detected in placental tissue from a mother vaccinated before pregnancy who had no documented COVID-19 infection during pregnancy.
These findings suggest that placental transfer of toxic vaccine materials from the mother to the fetus months to years after vaccination is possible.
Now that we know mRNA vaccine components can last for years in humans, these findings are not surprising.
Last year, transplacental transfer of mRNA vaccines was demonstrated in pregnant mice:
Now, it’s confirmed that those findings do in fact apply to humans.
These findings also help explain why infant mortality began to increase in 2021—immediately following the mass vaccination of women of childbearing age—reversing a 30-year decline:
Governments, pharmaceutical companies, and regulatory agencies have committed a grave disservice to future generations. The widespread fetal uptake of mRNA through maternal injection introduces unknown and potentially catastrophic consequences for human development. The long-term risks of in utero exposure to highly pathogenic spike protein of modified mRNA are unknown, yet these experimental injections were recklessly pushed onto pregnant women without adequate safety data.
It really is time for criminal charges.
Epidemiologist and Foundation Administrator, McCullough Foundation
Support our mission: mcculloughfnd.org
Please consider following both the McCullough Foundation and my personal account on X (formerly Twitter) for further content.












This is why I refused it during pregnancy 😅
Absolutely devastating news for humanity, Nic. One of the "Embalmers' Comments" to one of my recent "Worldwide Embalmer Blood Clot Surveys" stated that the embalmer had noticed a lot of "fetal demises" (i.e., miscarriages) at about the 19th week of pregnancy. Interestingly, this is right at the time that the placenta is considered fully formed and structurally mature. I am VERY CONCERNED that vaccine spike protein damage (including clotting) is damaging the placenta to the point where it is unable to provide the sufficient nutrients and oxygen to the baby. Thus, the baby literally "starves to death" or "suffocates to death" in the mother's womb.
These deadly mRNA injections need to come off the market IMMEDIATELY!